
die frechheit des tages
Engelbert 25.11.2011, 13.13| (20/0) Kommentare (RSS) | PL | einsortiert in: alles alltägliches
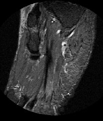
kernspinnereien
3. ... man(n) gab mir ne CD mit den Bildern mit.
2. ... diese CD hab ich natürlich mal in den PC eingelegt ... und mir ein Bild angeschaut ... mehr brauch ich nicht, denn die Diagnose ist:

Ich leide an Höhlenmalereien !! *gg*
3. Ihr dürft also bis Montag weiter spekulieren, ob der Doktor in mir Ahnung hat.
4. Ich hab gefragt, warum ich so schnell einen Termin erhalten habe ... sie hätten zwei MRTs, eins davon nur für die Gliedmaßen. Und so hatte ich dann mein Glied in Maßen dort reingelegt.
Engelbert 25.11.2011, 13.11| (19/3) Kommentare (RSS) | PL | einsortiert in: alles alltägliches
hab ich recht oder nicht ?
Engelbert 25.11.2011, 07.28| (12/0) Kommentare (RSS) | PL | einsortiert in: alles alltägliches
the voice of germany ...
Engelbert 24.11.2011, 21.43| (13/0) Kommentare (RSS) | PL | einsortiert in: alles alltägliches
ach gott wie schön
via gabriela per mail
Engelbert 24.11.2011, 18.58| (16/0) Kommentare (RSS) | PL | einsortiert in: sonstiges
musik des augenblicks
Engelbert 24.11.2011, 14.29| (1/0) Kommentare (RSS) | PL | einsortiert in: musik
österreich trauert ...
Engelbert 24.11.2011, 12.30| (15/0) Kommentare (RSS) | PL | einsortiert in: sonstiges
broccoli oh broccoli
Du ahntest es nie
dass
zuerst wirst nass
und dann dir so heiß
am Steiß
und dann wird dich auch noch stressen
dass dich Pfälzer essen
Engelbert 23.11.2011, 21.24| (11/0) Kommentare (RSS) | PL | einsortiert in: humor
bild des tages

Broccoli nach dem Waschen, ganz nah gesehen.
Engelbert 23.11.2011, 20.35| (2/0) Kommentare (RSS) | PL | einsortiert in: bilder
ich versteh' schon ...
... dass diese Werbung nie gezeigt (oder schnell wieder vom Markt genommen) wurde ... *breitgrins*.
Engelbert 23.11.2011, 18.10| (12/0) Kommentare (RSS) | PL | einsortiert in: sonstiges
der fuß des bloggers
Weniger dankeschön sind Wartezeiten dort ... ich hatte ne Liste mitgekriegt und daraufhin neun verschiedene radiologische Praxen angerufen ... bei zweien bin ich gar nicht durchgekommen ... bei den anderen sah es so aus: 13.12., 15.12., 2-3 Wochen Wartezeit, Mitte Dezember, erst im Januar ... und einmal der 6. Dezember. Den hätte ich dann halt nehmen müssen, wenn nicht zum Schluß eine Praxis in Kaiserslautern mir "jetzt am Freitag Morgen" gesagt hätte ... wunderbar.
Und nun bin ich mal gespannt, ob ich recht habe ... wenn nicht, werde ichs hier öffentlich zugeben. Wenn ja, schreib ichs auch ;). Viele können sich das ja nicht vorstellen, dass man einen Bruch hat und dennoch laufen kann ... viele haben auch noch nie etwas von Ermüdungsbruch gehört.
Engelbert 23.11.2011, 11.56| (15/0) Kommentare (RSS) | PL | einsortiert in: alles alltägliches
heute darf mal wieder ...
Engelbert 23.11.2011, 10.02| (6/0) Kommentare (RSS) | PL | einsortiert in: sonstiges
kfz-versicherung
Engelbert 22.11.2011, 21.04| (19/0) Kommentare (RSS) | PL | einsortiert in: sonstiges
in diesem moment vor 54 jahren ...
Engelbert 22.11.2011, 00.41| (78/0) Kommentare (RSS) | PL | einsortiert in: alles alltägliches
ich möchte nicht, dass sie fotografieren
"Das dürfen sie nicht" gehts weiter ... ich sag "doch, ich darf" ... und nun "das ist kein öffentlicher Boden" worauf ich "aber ich stehe auf einem öffentlichen Boden und von da aus darf ich" antworten musste.
Sie, das Telefon in der Hand und ins Telefon sagend "er sagt, er steht auf einem öffentlichem Grund, wie ist es damit" ... und dann "es gibt so viele Leute, die zuerst klingeln und fragen, ob sie fotografieren dürfen" ... worauf ich dann nix sage, weil ich mir sicher bin, dass es keine solchen Leute gibt und auch nicht einsehe, dass ich für ein solches Bild ...

... fragen müsste.
Mangels Argumenten blieb ihr nur noch das "ich möchte nicht, dass sie das fotografieren" ... "da kann ich mich jetzt dran halten oder nicht" ... dann sie "das werden wir dann sehen" ... und dann nochmal ihr "ich möchte nicht" ... worauf ich dann nicht "ich möchte nicht, dass sie nicht möchten" geantworte habe, sondern weiter ging ... mit einem solchen innerlichen Kopfschütteln ... das glaubt ihr gar nicht.
Sicher möchte sie auch nicht, dass dieses Bild hier zu sehen ist, aber ich sehs nicht ein, dass ich mir ein solches Bild verbieten lasse.
Engelbert 21.11.2011, 23.37| (32/1) Kommentare (RSS) | PL | einsortiert in: alles alltägliches
es wird sich klären
Das ist übrigens manchmal der Grund, wenn ich mal über ein Zipperlein schreibe ... oft hat jemand ne Idee, was es sein könnte und die ist wie hier sehr nachvollziehbar ... natürlich kann ich mich irren ... es wird sich klären, würde ich mal sagen.
Engelbert 21.11.2011, 10.01| (8/0) Kommentare (RSS) | PL | einsortiert in: alles alltägliches
ALLes allTÄGLICH
Wunschzettel
Spende an Seelenfarben
Paypal-Spende
| 2025 | ||
| <<< | Dezember | >>> |
| Mo | Di | Mi | Do | Fr | Sa | So |
| 01 | 02 | 03 | 04 | 05 | 06 | 07 |
| 08 | 09 | 10 | 11 | 12 | 13 | 14 |
| 15 | 16 | 17 | 18 | 19 | 20 | 21 |
| 22 | 23 | 24 | 25 | 26 | 27 | 28 |
| 29 | 30 | 31 |
- alles alltägliches
- bilder
- links
- hp
- bloggerwelt
- poesie
- ironie / satire
- computer/internet
- zitate, aphorismen
- musik
- heute ...
- humor
- politik/gesellsch.
- innenleben
- sonstiges
- kommentar
- liebe kinder
- alte werbung
- digital art
- heute 2005
- alte postkarten
- malerei
- headerbilder
- heute 2006
- m+m
- pälzisch und andere sprachen
- schreibakrobatik
- vor 10 jahren fotografiert
- beate bloggt
- s + f


